虫歯治療
予防歯科
歯周病治療
根管治療
審美歯科
矯正歯科
インプラント
口腔外科
虫歯治療

上の図の「C」とは虫歯の事です。数字が上がるごとに虫歯のグレードが上がり(悪化し)治療法や治療期間が変わってきます。
進行具合によって治療法も異なります。まず歯科医院にて検査しましょう。
C0の治療
一度虫歯になると、絶対に治せないと思われがちですが、
虫歯にかかり始めの初期段階では自然治癒することが可能です。
この段階はでは削って詰め物はしません。しっかりと歯磨きを行い、
キシリトール、フッ素、リカルデント等を使うことで虫歯は自然と治ります。
(これを再石灰化といいます。)
C1~C2の治療:歯の表面と内側を削って詰める治療を行います
単に虫歯を削って詰めるといっても暗くて小さいお口の中で、
患者様の健康な歯を傷つけずに虫歯の部分のみを取り除くことは、
非常に困難な作業です。
そのため従来の肉眼による治療では、
虫歯以外の健康な歯もたくさん削られて治療されていました。
その結果、治療後も歯がしみる、痛いなどの不快症状が残ることがあります。
当院では顕微鏡などの拡大鏡を使用することにより、
健康な歯を削らずに残し、
虫歯になってしまった部分だけを取り除いて
そこに接着材料をつかってきれいに封鎖する
MI治療(Minimum Intervention~最小の侵襲)を行っております。
治療後の不快症状を最小限におさえ、なによりも従来の治療よりも歯を削らないため患者様の大切な歯を長持ちさせることができます。
C3~C4の治療
歯の神経まで菌が達しているので、歯の根っこの治療を行います。
根の治療、根管治療(根幹治療)
これまでは通常、根の治療はレントゲン写真や計器などを頼りに、いわば手探りの状態で治療していました。
そのため、どんなに処置をしても治らないこともあり、長期間の治療を強いられることもしばしばありました。
最善の治療を考え当院では顕微鏡治療を導入し、いままでの手探りの治療から精度の高い視覚的な治療を行うことが可能になりました。
その結果、治療後の不快症状も少なく、きれいに治ります。

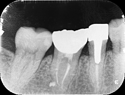
写真で見る、顕微鏡を用いた根の治療
-
お口の中は通常この様に暗く、目視だとなかなか細部までは見えません。
特に歯の根っこはとても複雑になっていているため、目視のみの治療には限界があります。 -
当院では顕微鏡を用いて上記のサイズに拡大して、細かい歯の根っこの治療を行いますので、神経を傷つけずに、リスクの少ない治療を心がけております。
-
上記は歯のレントゲン写真です。二本足のように、歯が歯茎に埋まってますが、右の歯の黒い部分(二本足のつけ根の部分)が菌に冒されてます。
-
非常に細かい部分ですが、顕微鏡を使い、菌に犯されているところを治療した後にレントゲンを取りました。
しっかり治ってます!!
予防歯科

せっかく製作したかぶせ物や、治療した歯や歯肉を長持ちさせるために、各患者様のお口の状況に応じた定期健診のプログラムを作成させていただいています。治療が終了した歯や歯ぐきを長持ちさせるために、患者様それぞれにあわせたオーダーメイドの予防プログラムを提案させていただきます。
予防プログラムとは
ホームケア(患者様ご自身で行うお手入れ、毎日のブラッシング)、プロフェッショナルケア(当院で行う専門的なクリーニング等)によって、虫歯や歯周病の原因であるプラークや歯石を取り除き、虫歯や歯周病の再発を防ぎ、健康なお口を維持します。
ホームケア
毎日の歯磨きはとても大切ですが、行き過ぎたケアは禁物です。間違った方法でゴシゴシ磨き続けることで、歯が磨耗して知覚過敏になったり、歯肉を傷つけてしまったりすることもあります。
当院では、患者様それぞれにあった磨き方や毎日のお手入れのコツを担当の歯科衛生士がプロの目線から分かりやすくアドバイスさせていただきます。

プロフェッショナルケア
PMTC
PMTC(Professional Mechanical Tooth Cleaning)とは、毎日のホームケアでいき届かないところや、なかなかお手入れしにくい部分を、プロの手によって隅々まで機械的に清掃する方法です。このクリーニングを定期的に行うことによって、虫歯や歯周病の菌が増殖しにくいお口の環境になり、健康な状態を維持させることができます。
さらに、クリーニングを行うとお口の中がさっぱりとして気持ちよくなります。ぜひ、体感してみてください。

ポケットクリーニング
歯と歯ぐきの間には、歯周ポケットとよばれるみぞが深いことがあります。普段の歯ブラシではみぞの中まで歯ブラシの毛先が届かないため、だんだん汚れがたまり、口臭や歯周病の原因になってしまいます。
当院では、定期的に患者様の歯周ポケットの検査を行い、お手入れの行き届かない歯周ポケットの中をしっかりとクリーニングすることにより、口臭や歯周病を予防しお口の健康をキープすることができます。

フッ素コーティング
虫歯になる前に、フッ素を歯にコーティングすることによって、虫歯になりにくい丈夫な歯になります。
効果をより持続させるためには3~6ヶ月ごとに定期的に歯科医院でフッ素を塗布することがおすすめです。
また、当院で使用しているフッ素は中性のフッ素を使用しているため、治療後の詰め物やかぶせ物を痛める心配もなく、小さいお子様でも安心して塗布することができます。

シーラント
奥歯のみぞの部分はブラシの先が届かず、特に虫歯になりやすい部分です。シーラントとは、奥歯のみぞを削らずにフッ素を配合した樹脂で塞ぎ、虫歯にならないようにする方法です。配合されているフッ素が長期間にわたり浸透するため歯を丈夫にします。
3歳ぐらいから、フッ素とあわせて処置していると効果的です。

カリエスリスク検査の実施(歯周病や虫歯の有無、唾液の質や虫歯菌の数などを調べる)
カリエスリスク検査とは?
虫歯になりやすい方、虫歯になりにくい方がいらっしゃいます。
虫歯になりやすいのか、虫歯になりにくいのかを理解して、ご自身に合った対策を考えましょう。
《虫歯のなりやすさを左右する主な原因》
(1)虫歯菌の量
(2)唾液の量
(3)唾液の質(むし歯から歯を守る力の程度)
(4)歯の質(酸に溶けやすいか溶けにくいか・フッ素を使用しているかどうか)
(5)食生活習慣
自分がどうしてむし歯になりやすいのかを知り、どうしたら予防できるのかを考えていきましょう。
どんな検査をするの?
まず試薬で10秒間うがいをし、その後すぐに検査をします。
5分後に検査結果が出ますのでわかりやすい表をプリントしてお渡しします。
歯周病治療
歯ぐきが腫れる、血が出る方は歯周病の可能性があります。
まず歯科医院にて検査しましょう。
歯を失う原因の第一位は歯周病です。
歯周病は初期の段階ではあまり症状もなく進行していき、歯ぐきの炎症を起こし、
歯の周りの骨を溶かし、やがては歯が抜けてしまう怖い病気です。
最近では心臓病、糖尿病との関連が問題視されています。
歯周病の恐ろしい点は、初期・中期には痛みをあまり感じることがなく症状がどんどん進むことです。
痛みや腫れの症状が出てくるのは末期になってからで、それまではほとんど自覚症状ありません。
これがこの病気の最大の特徴で、また一番恐いところです。
当院での歯周病治療の流れ
歯周病組織の検査を行います。適合の悪い被せもの有無も確認していきます。

検査した口腔内の状態を丁寧にご説明いたします。その際に、患者様からのご不明点やご質問がございましたら分かりやすく回答いたします。

重度の歯周病の場合は、傷んだ歯肉や骨を再生し、健康に近い歯肉にする処置も行います。

健康的な口腔内を保持するために、歯科衛生士による専門的なクリーニングなどのメインテナンスを定期的に受けていただきます。

根管治療
根管治療とは

根管(こんかん)治療とは、虫歯が進行しての神経に達してしまった場合に、感染の拡大を防ぐために神経を取り除き、歯の内部を清掃・消毒して薬剤を詰める方法です。
また、過去の根管治療が不十分な場合に、根管内で繁殖した細菌が根の先に溢れ出て骨を溶かします。
それを再治療することも根管治療のひとつで、日本のずさんな根管治療ではこの治療が非常に多いのが現状です。
その病気を放置すると細菌は血流に乗り、全身にも影響を及ぼします。
当院の根管治療のこだわり
マイクロスコープを使用した精密根管治療の実施
マイクロスコープとは、対象物を20倍以上まで拡大して見ることができる機器です。根管は入口で直径が0.4㎜ほど、深部で0.1㎜ほどと大変小さいため、マイクロスコープを利用することにより、こうした細かな部分も確認でき、精密な治療を行うことができます。精度の高い根管治療を行うためには必須の機器と言えるでしょう。

ラバーダムを用いた衛生面にも配慮した治療
ラバーダムとは、治療を行う歯と頬・舌を隔離する際に使用するゴムシートです。
根管治療では、細菌への感染予防が不可欠です。唾液の中にも細菌は多く、治療中の器具や、唾液から再感染が起きる可能性があります。
そのため、ラバーダムを使用することによって、唾液や浸出液などの細菌が入らないよう注意し、治療を行います。
歯科用CTをもちいた歯の内部構造(根管の形態)の検査
歯科用CTを使用することで、レントゲン写真では確認できなかった病変をより正確に把握することができます。
2次元撮影では把握できない箇所も多くありましたが、3次元撮影によって確実性の高い治療を行うことができます。

根管治療を長期的に成功に導くための確実な封鎖方法(根管充鎮)
根管充鎮は、根管治療を完了する上で欠かすことのできない処置です。
根管内の洗浄や消毒が終わった後に、専用の詰め物を隙間なくしっかりと詰めて根管内を無菌状態にします。
根管充鎮が不十分で隙間ができてしまうと、そこから再び細菌感染を引き起こしてしまう恐れがあります。
再感染とならないためにも、しっかりと根管充鎮を行います。
審美歯科
歯を白くしたい!
患者様の状態によりさまざまな治療方法があります。
当院では患者様とご相談しながら数種類の方法を提案させていただき、
ご納得いただける方法でご安心いただける治療を提供いたします。
治療の際も顕微鏡など拡大鏡下で行うことにより、自然できれいな仕上がりになります。
~ホワイトニング~歯を削らずに白くしたい!
ホワイトニングには、ホームホワイトニングとオフィスホワイトニングの2種類があります。当院では患者様の歯の色合い、治療期間、ご希望などから、もっとも最適なホワイトニングプランをお選びします。
ホームホワイトニング
オーダーメイドのマウスピースを製作して、そこにジェル状のホワイトニング剤をいれて、ご自宅でホワイトニングする方法です。
従来のホームホワイトニングは一晩中つけて漂白する必要がありましたが、当院ではアメリカより最新のホワイトニング剤を取り寄せているため、1日わずか30分のホワイトニングで1週間ほどから効果がみられ、非常に好評をいただいております。5種類のホワイトニング剤を使い分けることにより、デリケートな日本人にあった最適のホワイトニング剤をチョイスしているので、快適にホワイトニングが楽しめます。
また、歯並びも気になる方には、マウスピース矯正をして歯並びを治しながらホワイトニングをすることができます。

オフィスホワイトニング
クリニックにてホワイトニングをする方法です。
ホームホワイトニングに比べて数回でホワイトニングできるので、短期間を希望される方にはおすすめです。しかし、ホームホワイトトニングに比べ術後の後戻りが早いのが、欠点です。当院では、主に歯の神経が死んでしまった変色歯のホワイトニングにもちいています。

セラミック治療
自然の歯は、白く輝いて見えます。しかし人工の歯でも自然の美しさに近い状態で、歯としての機能を回復させ、健康的で美しい歯を取り戻すことが出来ます。
自然な感じで、見た目(審美的)にも機能的にも満足のいく、人工セラミックの歯は金属アレルギー対策にもなります。
審美歯科は、特に審美性に配慮した治療法です。
従来の虫歯や歯周病といった、歯や歯肉の病気を治すことが目的ではなく、もう一歩進んで、美しく健康な歯や歯肉を作ることを目的としています。
そして何よりも、自分の笑顔に自身を持ち、より快適で楽しい生活を送っていただくための治療です。
当院の審美歯科の特徴
01.精度の高い補綴治療が可能
当院では、歯科技工士が常駐しているため、精度の高い補綴治療が可能です。
必要に応じて院内で患者様のお口を直接確認し、色合わせや使用感などの確認ができることが強みです。

02.スピーディーな対応
当院では、セレックシステムを導入しています。セレック治療を行うことで、治療で来られた当日に補綴物をご提供できる「ワンデイトリートメント」も可能です。忙しく、歯科医院にあまり通えない方へも無理なく通って頂けます。

矯正歯科
歯並びや噛み合わせが悪いと、見た感じが悪いだけでなく、発音や咀嚼障害(そしゃくしょうがい)を起こし、虫歯や歯周病になりやすく、心理的・精神的な(劣等感など)障害を引き起こします。
スポーツを行う際に、「噛み合わせ」と「力を出す(力む)」ことは大きく関係していると科学的にも実証されています。
また子供の学業にも影響します。矯正治療でIQやEQ(心の知能指数)も飛躍的に伸びたとの報告もあります。
矯正は、ただ歯並びを良くするだけでなく、そしゃく機能(噛む機能)の改善をし、口元の変化は横顔の変化にもつながり、さらに美しい顔貌に変化します。
当院では、矯正専門医が患者様一人ひとりの歯の状態にあわせて治療計画を立てさせていただきます。
インプラント
当院のインプラント治療の特徴
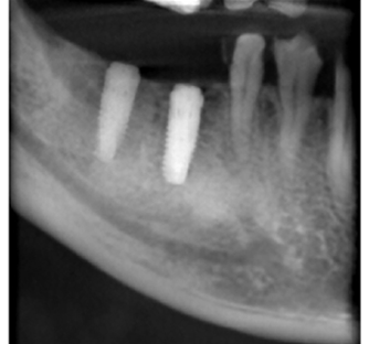
当院では安心安全なインプラント治療をより確実に行うために、すべてのインプラント治療で3Dコンピューターシミュレーションシステム「シンプラント プロ」で歯科CT画像からデータ解析を行い、サージガイドを作成するコンピューターガイデッド インプラント治療を行っています。
シンプラント プロとは
一般的なレントゲン写真のみでの術前診断では、平面的な写真画像のため、骨の厚みや神経の走行などを立体的に見ることはできませんでした。
そのため手術中に骨の状態を直接見て手術を行う必要があり、術者の経験や勘頼りになりやすく計画していた位置にインプラント手術が行えないということもあります。
歯科用CTは、顎の骨の断面像を見ることができ、一般的なレントゲン写真よりも多くの情報を得ることが可能です。しかし、実際の手術ではそのCT画像を参考にして、フリーハンドでインプラント手術を行うため、やはり術者の経験や勘頼りになりやすく計画した位置からずれてしまうこともあります。
シンプラント プロのコンピューターガイデッド インプラント治療では、歯科CT画像から3D画像を構築し、骨の厚みや神経の走行などを視覚的に診査できます。
そして嚙み合わせ、骨の厚みや神経の走行からからみて三次元的に理想的なインプラントの位置を画像上でシミュレーションすることができます。これにより手術を行う前に安全で理想的なインプラントの位置を決定することが可能になりました。
画像は患者様に見てもらうことで予定するインプラントの施術後のイメージを画像で確認できます。

歯科CTデータからシンプラントで3D画像を表示して骨の厚みや神経、血管の走行を検査します

噛み合わせ、骨の厚みや神経の走行からみて理想的なインプラントの位置を決定

インプラント治療の仕上がりのイメージは画像で患者様も視覚的に確認できます
コンピューターガイデッド インプラント治療とは
「シンプラント プロ」で計画されたシミュレーションデータからサージガイドを作製します。
作製されたサージガイドをお口の中に装着して手術を行うことにより、計画した位置をお口の中に正確にトランスファーしてインプラント手術することができます。
サージガイドを使用することで、狭く小さいお口の中や手術しにくい奥歯でも精度の高い正確なインプラント治療が行うことが可能です
コンピューターガイデッド インプラント治療では、歯科医師の経験にプラスして手術の精度もよく、安心安全なインプラント治療をより確実に行うことができます。

理想的な位置に計画された3DデータからCAD/CAMで高精度なサージガイドを作ります
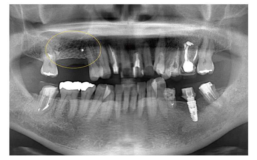
治療前のシミュレーション
施術前のレントゲン
サージガイドを使用することによって計画された位置に正確な施術が可能です

― 治療後 ―
計画した位置に正確に施術することで良好な審美結果が得られます
骨が足りない場合は
インプラント治療を行う部位には、インプラントが埋入できる骨の厚みが必要です。
歯を失ってしまう主な原因は歯周病や歯の根の病気の為、歯を失った部分は顎の骨も痩せ細ってしまい、
このままではインプラント手術ができないケースも少なくありません。

インプラントをするには周囲に十分な顎の骨の厚みが必要です

顎の骨が足りない場合、このままではインプラントはできません
このような場合は、骨造成手術(GBR)を行い、痩せ細ってしまった顎の骨の厚みを回復させてあげることでインプラント治療が可能になります。

骨が痩せてしまった場所に骨補填材を填入して骨の厚みを回復させることでインプラント治療が可能になります。
当院では歯科用CT撮影を行い、シンプラントプロで3D画像診査をすることで、顎の骨の状態を視覚的に精密に診査することができます。
顎の骨が痩せてしまっている場合は、骨造成手術(GBR)を行うことで骨が足りない場合でもインプラント治療が可能です。

顎の骨が痩せてしまってインプラント治療ができるだけの十分な骨がない

骨造成を行うことでインプラント治療が可能になります

シンプラントで診査し計画した位置に正確にインプラントを施術します

痩せてしまった顎の骨を再生することで、骨が少ない場所でもインプラント治療は可能です
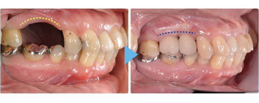
前歯のインプラント治療

前歯は周囲の骨が非常に薄いので抜歯後、時間の経過と共に歯茎は痩せて、骨も吸収して溶けてしまうことが多くあります
前歯のインプラント治療でとても重要なポイントは失った歯を回復してしっかり噛めるように機能を回復させることと、見た目が自然で人工物とわからないぐらいに綺麗にインプラント治療によって審美性を回復させることです。
しかし多くの場合、前歯の周囲の骨は非常に薄く、歯を失ったことになり顎の骨は吸収して痩せていき、それに伴って歯茎も下がってしまいます。
このままの状態でインプラント治療を行うと周りの歯と長さの違う不自然な被せ物(人工歯)になってしまい見栄えが悪く清掃性もよくありません。

新プラントプロで3次元的に分析を行い、インプラントを埋入する位置を決定し、サージガイドを作成します
そのため前歯のインプラント治療では、より正確な位置にインプラントを埋入することが求められ、インプラント周りの歯茎も自然な仕上がりになるようにインプラント周囲組織の骨や歯茎も回復をしてあげる必要があります。

コンピューターガイデッドインプラント治療 + 歯科用顕微鏡を用いたマイクロサージェリー 審美的に良好な結果が得られています
当院では、コンピューターガイデッド インプラント治療で正確な位置にインプラント手術を行い、そして前歯などの審美領域では顕微鏡を使用したマイクロサージェリー(顕微鏡下手術)を行うことで傷跡の目立ちにくい自然な仕上がりのインプラント治療を行っています。
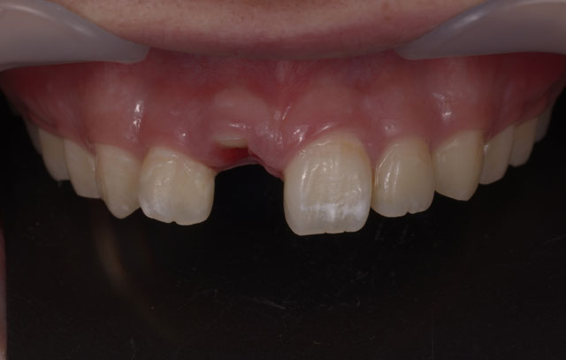
歯が抜けてしまった方へ
そのまま放置すると噛み合わせがずれてしまい、健康な歯にも影響を及ぼしますので、すぐに歯科医院にて検査しましょう。
失った噛み合わせを回復するには大きく3つの方法があります。
-
入れ歯
-
ブリッジ
-
インプラント
入れ歯
隣の歯を削ることなく失った噛み合わせを回復することができます。
また保険で治療を行うことが出来るので、少ないご負担で治療できます。
しかし取り外しの煩わしさと慣れるまで違和感があるかもしれません。
多くの方がお悩みになられる、入れ歯が合わなくて歯肉に痛みを感じて噛めない方々には、軟性の特殊な生体シリコンを裏打ちして痛みのない入れ歯を、当院ではオススメしています。
お年寄りが誤嚥性肺炎(異物が気管に入って、そのために生じる肺炎のこと。)で亡くなられる方が増えており、義歯の清掃や口腔内を清潔に保つことが重要です。
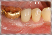
ブリッジ
両隣の歯を支えに連結固定して、失った噛み合わせを回復します。
入れ歯に比べて、違和感は少ないです。
ただし、両隣の支えになる「健康な歯」を削らなければなりません。
また、噛む時に加わる力はほとんど支えている歯にかかるため、失った歯の数が多い場合は、支える歯の負担能力を超えてしまうため行うことが出来ません。
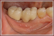
インプラント

- 取りはずし式の義歯で満足に噛めない人にはインプラント(人工歯根)が最も有効な治療法です。
最大の利点は健康な歯を削ったり、残存歯に負担をかけたりして健康な歯を犠牲にすることがなく、欠損部を補うという事です。
また術後に定期的なチェックとメインテナンスを行うことによって長く満足のゆく状態を維持できます。
インプラント治療のメリット・デメリット
【メリット】 自分の歯として実感できるため、入れ歯と違い、よく噛むことができます。【デメリット】 外科手術を伴うので治療期間が長くなります。
保険適用外のため費用がかかります。
インプラント治療の進み方
01.問診
まず、患者様の今ある不具合や気になるところをヒアリングいたします。
しっかりと、十分にご説明いたします。

02.検査
次にお口の中の精密な検査をします。
レントゲン撮影やお口の型取り、写真撮影、CT撮影など、精密で安全な治療をするための十分な検査をします。

03.カウンセリング
現在のお口の中の状態、患者様の希望など総合的に判断して最善の治療方法をご説明します。
安心して、治療を受けていただけるように、わかりやすくご説明いたします。
04.インプラント手術
手術は虫歯治療と同じで、歯ぐきに麻酔をかけるだけで、痛みなくできます。そのため、初めてインプラント治療を受けた患者様のなかには、「思っていたほど、早かった」や「緊張したのが、嘘みたい」など言っていただける方もいます。
当院では、インプラント手術は顕微鏡などの拡大鏡を用いて行っているため、従来の手術方法にくらべて、傷の治り具合も早く、患者様にとっても、やさしく、負担の少ない治療といえます。

05.メインテナンス
一定の安静期間をおいて、かぶせ物を作っていきます。新しい「第3の歯」がしっかりなじんで、よく噛めるまでしっかり、調整を行います。
そして、かぶせ物を装着したら、今度は、この新しい「第3の歯」が、しっかり長持ちするように定期的なメインテナンスに入ります。実はこのメインテナンスがとても重要であり、インプラントの長期的安定性を支えています。
当院では、インプラント治療を行った、すべての患者様に対して患者様それぞれにあった、オーダーメイドの予防プログラムを実施しております。そのため、治療後も安心のサポートが受けられます。

実際のインプラント治療を見てみる
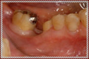
症例1
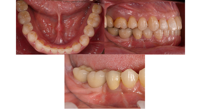
右下の奥歯の失った部位に対して、痩せた歯茎の再生治療とインプラント治療を行いました。
症例2
痩せてしまった下顎の骨を再生させる手術と歯茎を再生する手術を行い、3本のインプラント治療を行いました。
口腔外科
当院の口腔外科診療では、親知らず抜歯、スポーツや事故による外傷、顎関節症、口腔癌検診などの診療を行っています。
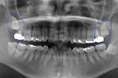
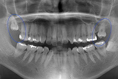
1親知らずについて
第二大臼歯の奥に位置する歯で第三大臼歯のことです。
20代になってから生えてくることが多いので親が知らずに生える歯が名前の由来%女性のようです。
市川市の20歳の検診によると
親知らずの発生率は85~88%(男性88%女性85%)
そして上の親知らずは50%以上(男性50%女性70%)
下の親知らずは60%以上(男性60%女性70%)が埋伏して歯茎中に潜っていて歯周病や虫歯のリスク要因なります。
完全に生えている親知らずはわずか10%にとどまりしっかり生えていても奥に生え過ぎている為によく磨けず30~40%は清掃不良が認められる結果になっています。
親知らずは抜歯したほうがいいのか?
親知らずを抜歯しなくてもいいケース
1.親知らずが上下ともまっすぐ生えていてしっかりと噛み合い、歯ブラシによる清掃も可能で清潔な状態を維持できる場合は三番目の大臼歯として機能するので抜歯の必要はありません

2.隣在歯の予後が悪い場合など、親知らずを虫歯や歯周病にならないようにケアできれば移植歯として活用できます。
親知らずを抜歯した方がいいケース
親知らずが横や斜めに生えていたりまっすぐ生えていても歯ブラシが届かず清掃が行きとどかずに虫歯や歯周病になってしまっているまたはそのリスクを高めてしまっているような場合は親知らずを抜歯することでブラッシングしやすくなり隣在の歯や歯茎の健康を守ることができます。

親知らずの抜歯について
1.お口の中の診察しレントゲンやCT検査を行います。 検査により親知らずが神経に接している場合は、抜歯によって神経損傷のリスクがあるため、大学病院に紹介するか、2回抜歯法にて安全に抜歯をおこないます。
CT検査にて親知らずと神経が接してしる
2.局所麻酔をして抜歯をおこないます。
3.抜歯した部位にコラーゲンのお薬を詰め、止血をおこない終了です。
手術する場合も日帰りで行います。
4.数日後、術後の消毒をおこないます。
通常、腫れや痛みは3~5日程度でまが、ほとんどは痛み止めのお薬でしっかりコントロールできます。
親知らず、歯の移植について
歯を失ってしまった場合の一般的な治療方法は、Br、インプラント、入れ歯(義歯)ですが、親知らずを活用した歯の移植という治療方法もあります。
親知らずを移植したケース

右下の奥歯が重度の虫歯で抜歯と診断。親知らずの移植を計画。

抜歯と同時に親知らずを移植

骨の再生が認められる

経過は良好
治療期間 6ヶ月
費用 15万円(歯の移植)
| メリット | 歯が生え変わったように自然な仕上がりで噛める |
|---|---|
| デメリット | 歯の移植は一度抜歯するため、生着しないことがある |
親知らずを移植したケース2
第二大臼歯のな根が折れており抜歯と診断
第一大臼歯がすでに欠損しているのでこのままだと奥歯が2本失ってしまう為、第二大臼歯に親知らずを移植し、第一大臼歯部はインプラント治療を計画した。




治療期間 1年
費用 60万円(インプラント45万 / 歯の移植15万)
| メリット | 親知らずを移植することでインプラントの本数を減らして費用を抑えることができる |
|---|---|
| デメリット | 歯の移植はインプラントに比べて成功率が低い |
親知らずを大臼歯として生え変わらせたケース
上顎の左右第二大臼歯の予後が悪い為に抜歯を行い、親知らずが大臼歯の場所に生え変わるまで待ちました



抜歯後、親知らずが徐々に生えてきいき健全な歯に生え変わりました。
治療期間 3年
費用 抜歯2本5,000円
| メリット | 抜歯を行うだけなので、治療費や負担が少ない |
|---|---|
| デメリット | 親知らずが生えるまで個人差がありかなりの期間がかかる |
2歯の外傷について
交通事故やスポーツ中の事故で外傷により歯が折れたり、脱臼して抜けてしまったような場合も早期に適切な治療をおこなうことにより治癒することが可能です。
しかし受傷から日にちが経ってしまうと再着率が下がってしまうのですぐに受診しましょう。
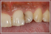
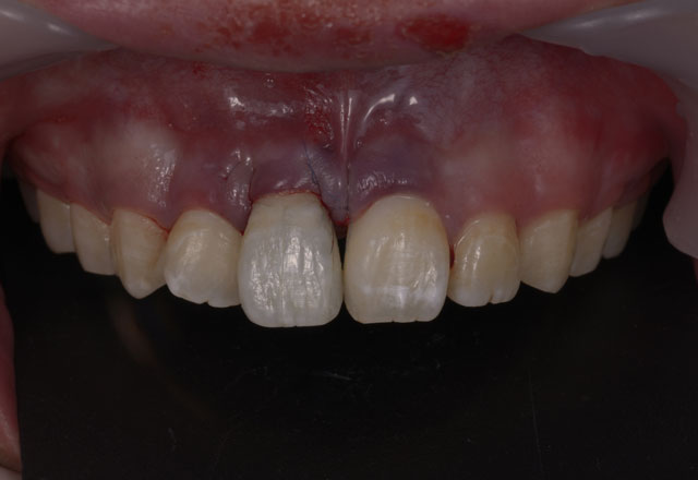
スポーツ中に前歯を折ってしまったケース
スポーツ中に相手の肘が前歯にぶつかってしまい、折れて粉々に砕けてしまった。

外傷で歯は折れてバラバラに砕けてしまっているが幸い破片はぴったりと合う状態

歯科用接着剤を使用して歯の形態を回復した
整復固定直後
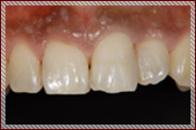
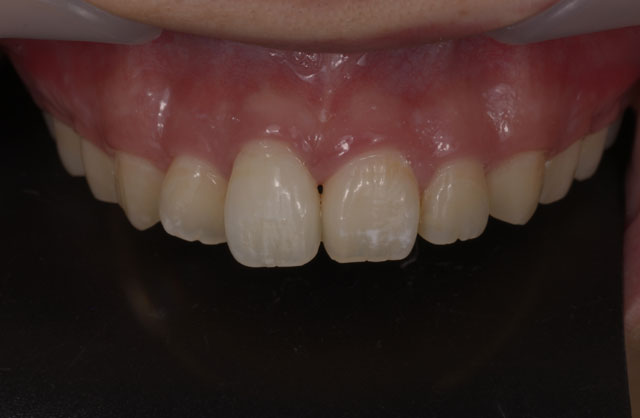
術後
| 治療期間 | 2ヶ月 |
|---|---|
| 費用 | 5万円(スポーツ振興保険適用時は負担無し) |
| メリット | 被せ物やインプラントではなく自分の歯で治すことができる |
|---|---|
| デメリット | 受傷状態や歯の保存状態によっては再着できないことがある |
- 事故や外傷により歯が抜けてしまったり折れてしまった場合、できる限り歯や歯のかけらを持ってきてください。なお歯は湿潤状態で保存が望ましいです。
3顎関節症について
顎関節症の症状は
- 顎の関節周囲に痛みがある
- 口の開け閉めがしにくい
- 口を大きく開けようとすると痛くて開かない
このような症状が見られたら要注意です。まずはお気軽にご相談ください。
顎関節症は女性に多く見られますが、近年では若年者にも増えています。
顎関節症の治療について
- スプリント療法(マウスピースを使った治療)
- 薬物療法
- 生活習慣の改善
4口腔癌検診について
口腔がんの早期発見や、癌になる前の状態を早期発見し治療するための検診です。
口腔癌検診では、お口の中を診察するだけでなく、お口の中から細胞を採取して液状化検体細胞診を行い、口腔癌のスクリーニング検査を行うことができます。
口腔がんとは
口腔がんは舌の横、歯肉や唇の粘膜など好発部位です。
40歳を過ぎる頃からみられるようになり、加齢とともに発生率は上昇します。男性は口腔癌の発生率は高い傾向にあります。
癌は命に関わる病気です。そのため早期発見・早期治療が大切です。
液状化検体細胞診
口腔癌検診の流れ
- お口の中、頬っぺたの粘膜、舌、歯ぐき等を診察します
- 歯間ブラシを用いてお口の中の細胞を採取します
- 採取した検体を検査所に送付します
- 後日検査結果をご報告いたします










